ORTHODONTICS矯正歯科とは

矯正歯科

矯正歯科の治療

矯正治療は歯並びを整えて見た目を良くするとともに、ブラッシングなどのケアをしやすくするので、虫歯や歯周病の予防にも役立ちます。また、会話や食事がしやすくなることでQOL(生活の質)が上がりますし、顎関節症の予防にもなります。さらに、社会生活を営む上で「歯並びが悪い」というコンプレックスはしばしばマイナスに働きますが、矯正によって自己肯定感を高めれば、仕事や人間関係に大きなプラスとなるでしょう。

あなたの咬み合わせは不正咬合ではありませんか?

噛み合わせの悪さは、顎の幅や歯の大きさなど先天的なものにも左右されますが、生活習慣に影響を受ける面もあります。例えば、幼少期に頬杖や指しゃぶりなどのクセがあった場合、不正咬合になることがあります。上顎前突や下顎前突などは見た目が悪いだけでなく、発音や食事をしにくいなどのデメリットもあります。また、叢生など歯列が乱れる不正咬合の場合、ブラッシングがしにくいので虫歯や歯周病のリスクが上がります。

矯正歯科の治療

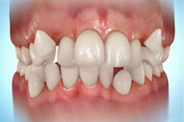
叢生(乱杭歯)

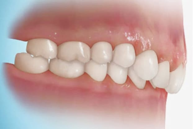
上顎前突

下顎前突

開咬

過蓋咬合

顎変形症

当クリニックの矯正治療の特徴

Point01先代からの豊富な経験と症例

当クリニックには、矯正歯科治療における多数の症例と実績があります。毎週医院内では症例検討会も開催していますので、スタッフ一人ひとりが患者様に合わせたご提案をいたします。

Point02納得いただける丁寧でわかりやすい説明

レントゲン写真撮影(頭部、顎関節)、歯の型どりを行い咬合検査、口腔内・顔写真撮影、など治療方針・治療計画立案に必要な資料をとり、徹底的に分析を行います。
※患者様の口腔内状態によっては、歯科用CTを撮影させて頂く場合があります

Point03予防処置を大切にした矯正治療

綺麗な歯並びになること以外に、生涯健康な歯を保っていいただくことも重要視しています。矯正歯科治療中にお口の中でトラブルが起きないよう、歯科衛生士が主体となり、予防処置を行います。

乳歯のあるお子様の矯正治療

乳歯のあるお子様の矯正治療

乳歯が残っている時期から矯正を始めると、顎の成長を利用しながら歯列を整えていけるメリットがあります。また、歯並びが良くなれば虫歯のリスクが減り、発音が良くなるうえに、口呼吸を防止できるメリットもあります。さらに、幼児期から歯科医院に通う習慣を付けることで、生涯にわたって歯を大切にする意識を持ちやすくなることも大きなメリットといえるでしょう。

お子様の矯正治療

永久歯が生え揃った小学生から中高生のお子様の矯正治療

永久歯が生え揃ったお子様に関しては、大人と同じ矯正方法で治療を行います。永久歯が生え揃うまでは、あごの成長や歯の生えるスペースの確保が目的となりますが、永久歯が生え揃った後は実際に歯並びを整えていく過程に入ります。お子様も思春期に入り私生活も忙しくなる時期のため、ご本人以外にも親御様と一緒に協力して矯正歯科治療を行っていきます。

中高生の矯正治療

大人の方の矯正治療

「矯正治療は成長期に行うもの」というイメージがあるかもしれませんが、実は成人してから行う矯正にも大きなメリットがあります。成人している方の場合、「成長」というファクターが無いので、予期せぬ変化が起こりにくく、歯の移動をコントロールしやすいのです。また、成人された方であれば自発的に治療に臨む方が多く、治療期間中のモチベーション低下が問題になりにくいことも大きなメリットといえます。

大人の矯正治療

シニアの方の矯正治療

近年では、60代の方でも矯正歯科治療を望む方が多くいらっしゃいます。ご自分の年齢を気にしてなかなか踏み出せない方も是非一度ご相談ください。当クリニックには豊富な症例がありますので、年齢と症状に合わせて、お身体に負担が少ない治療方法をご提案いたします。
すべての歯並びを治さなくても、気になる一か所を治すだけで笑顔に自信を持てることも少なくありません。平均寿命が延びている現代だからこそ、あなたがいつまでも美しくいられるようサポートいたします。

シニアの矯正治療

歯の修復治療のために矯正治療が必要な方へ

当クリニックでは、虫歯・歯周病・顎関節症治療など、それぞれの分野の専門医と密接に連携しております。虫歯治療や歯を失ってしまった場合に補う治療(被せ物を入れる治療など)を行う前に、歯を起こしたり隙間を確保するために、部分的(全体的)に矯正装置を装着して歯を移動させる方法なども行っております。この場合、専門医との連携を密に行い、トータルな診査結果を総合して判断し、矯正治療を開始する前に十分に検討した上で治療計画を立案いたします。

矯正治療をする際の注意点

矯正治療を成功させるためには、いくつか注意しなければならないことがあります。

虫歯・歯槽膿漏(歯周病)

矯正装置は虫歯菌・歯周病菌の“すみか”になりかねません。歯みがきの練習、歯質の強化、食生活の注意が必要です。当クリニックでは、これらを徹底できるようにご指導いたします。

歯根吸収

歯の移動は歯周組織の生理的な反応を利用して行いますが、骨の中を歯が移動する時に歯根が少し吸収されることがあり、これを「歯根吸収」と呼んでいます。この現象を予測することは難しいのですが、このリスクを最小限に抑えるように、矯正力のコントロールやレントゲンのチェックを行います。

歯が動く時の痛み

かなり個人差がありますが、歯が動き始める矯正初期に痛みを感じることが多いです。当クリニックでは新開発のペインコントロール技術を用いて、痛みの少ない矯正治療に取り組んでおります。

緊急時の対策

装置が壊れたり、粘膜に引っかかってしまった場合は、速やかに対応いたします。

矯正治療についてのご質問は何でもご相談ください

矯正治療中に虫歯になったら?

矯正歯科治療中は矯正装置によって歯磨きがしづらいため、歯の汚れが十分に除去できず、虫歯になってしまうことがあります。矯正後も健康な歯を維持するためには、矯正治療中の予防がとても大切なのです。

矯正治療中の予防

矯正治療中って何を食べればいいの?

矯正装置を付けると歯と装置の間に食べ物が挟まりやすくなったり、歯が動く事により、食事時に違和感を感じることがあるかと思います。当クリニックでは、食育インストラクターが食事時の注意点や、調理法など詳しくご説明いたします。

矯正治療中の食事

矯正治療の料金が気になる……

矯正歯科治療と言えば高いという印象をお持ちの方がたくさんいらっしゃるかと思います。当クリニックでは矯正治療を行いたい方が気軽に行えるように、様々なお支払方法をご用意しています。分割もご相談ください。

治療費用

子供・中高生の矯正

子供のうちから始める矯正治療

矯正治療は成人してからでもできますが、小児矯正に取り組むと、顎の成長を利用して永久歯が整列するスペースを確保することができます。そのため、成人矯正で時に必要とされる、「スペースを確保するための抜歯」を回避できる可能性が上がります。また、歯列が整えば虫歯リスクが下がりますし、歯科医院に通う習慣がつくこともお子様の人生にとってプラスになるでしょう。

お子さまのこんなクセ気になりませんか?

  • 歯並びが悪い
  • あごが前に出てしまう
  • お口がぽかんと開いている
  • 口呼吸をしている
  • すぐ頬杖をついてしまう
  • 風邪をひきやすいように思う
  • 指しゃぶりがやめられない
  • 口元を突き出すクセがある
  • いびきをよくかく

子供の内から矯正治療を始めるメリット

Merit01矯正治療中に永久歯列が完成する

最後に残る乳歯はその後から生えてくる永久歯よりも少し大きいです。歯が抜けた後、奥歯が手前に寄ってこないように調整することで、歯が抜けたスペースを利用して永久歯の歯並びを整えることができます。

Merit02顔面骨格の成長を利用できる

思春期性成長の時期は、子供の顔から急速に大人の顔に変化していきます。その変化を利用する事で治療をスムーズに行うことができます。

Merit03精神的に素直で自分の意志をはっきり持てる

矯正治療はドクターに任せきりではなく、患者様自身の協力が必要な治療。いわゆる思春期に入るとなかなか治療への協力が得られない事があります。精神的に素直な時期に開始する事で、思春期に入る時期には矯正治療も仕上げの時期に入ることができるのも大きなメリットです。

お子様の矯正治療を行う時期

歯の交換と顔の成長を優先させる(初期治療:6~8歳)

上あごと下あごの前歯・奥歯が子供の歯から大人の歯に入れ替わる年齢です。この時期に上の前歯が重なってきたり、出っ歯や受け口である場合、上あごや下あごに取り外しのできる矯正治療装置を装着し、顎の横幅を広げたり、前後的な咬み合わせのズレを改善します。
「初期治療」の後は、横の歯の生え変わりを観察し、続いて永久歯列期の治療がスムーズにできる様に準備をします。米国矯正歯科学会では、どんな子供でも7歳までに矯正専門医の診察を一度は受ける様に推奨しています。

美しい歯並びと正しい咬みあわせ(包括治療:10~12歳)

乳歯と永久歯の両方があるこの時期を、混合歯列期と言います。この時期には、お子様の成長に合わせて変化するあごの大きさや咬み合わせを正しく整えていきます。永久歯がすべて生え揃ってからは実際に歯並びを綺麗にしていくため、10~12歳は土台作りをしていく期間になります。

中高生の矯正治療(12歳~)

中学生から高校生位の年齢になると永久歯はほぼ揃って、ブラケットを着けて行う本格的な矯正治療をスタートする時期となります。成長期のため、細胞の活性も高く、歯を動かす矯正力にも反応が良い時期です。個人差はありますが、残っている顎の成長を治療に利用できる有利な時期でもあり、これが大人の方との一番の違いになります。
また、成人前のこの時期に矯正治療を通してブラッシングや口腔衛生の習慣を身につけることで、良い歯並びと健康なお口で生涯にわたって食事を楽しんでいただけると思います。矯正治療を行うことにより、ご自身の笑顔に自信を持つことができ、対人関係にも大きなプラスとなる事でしょう。
高校受験や大学受験、部活動などにも忙しい時期でもありますが、将来の夢に向かって、この時期に矯正治療を受けることは大きなメリットがあると考えます。

当クリニックの小児矯正

MFT(口腔機能訓練)

MFTとは、「口の周りの筋肉の機能を改善する口腔筋機能療法」です。英語ではOral Myofunctional Therapyといい、Myo(筋)の「M」、Functional(機能)の「F」、Therapy(療法)の「T」という意味を指します。
MFTによって筋肉のバランスを整えることで、歯並びを良くできますし、発音や嚥下(飲み込む動作)も適正化しやすくなります。成人した人でも効果は期待できますが、特に成長期に行うことが効果的です。口呼吸しがちなお子様を鼻呼吸が常態化するように誘導できるので、健康上さまざまなメリットがあります。

メリット

  • 計画的に矯正治療を行えるため、矯正治療の効果を維持しやすいです
  • 矯正後の後戻り防止が期待できます
  • 舌の前方突出をコントロールすることで、開咬など、不正咬合の改善が期待できます

デメリット

  • お子様の治療の場合、ご家族のご協力が必須です

拡大床

拡大床はネジを使った調整方式で横方向に拡大できる矯正装置です。歯に引っかけるワイヤー部分とお口の中の粘膜部に接するプラスチック素材の部分、中央部の調整ギミック部分から構成されています。ネジを回すことで少しずつ顎の幅を広げていけるので、成長期に使うことで永久歯がきれいに整列できるスペースの確保に役立ちます。この時期に適正な顎の幅を確保できれば、抜歯をしなくても最終的な矯正ができるメリットがあります。そのため、乳歯と永久歯が混在する時期に使用することが多いですが、永久歯に生え変わった後に、保定装置として使用される例もあります。

メリット

  • 着脱できるため、食事は通常と変わりなくできます
  • 比較的痛みが少ないです
  • 装置は清掃しやすいので衛生的に使用できます

デメリット

  • 規定時間装着しないと効果が少ないです
  • 発音しにくい場合があります
  • 慣れるまで少し違和感があります

プレオルソ

プレオルソは、マウスピース状の装置を使って行う矯正方法の一種で、4~9歳くらいのお子様を対象として使用することが一般的です。直接的に歯を動かすことを主目的としておらず、口の周辺にある筋肉を適切に成長させることを重視しています。お口の周辺には、食事や嚥下、会話などに使う筋肉が多数存在し、これらの筋肉が適切に発達することで、結果的に歯並びも良くなるという治療方法です。

メリット

  • 歯並びだけでなく口周りの筋肉の機能を改善します
  • 「お口ポカン」の改善にも効果があります
  • 家にいる時1時間以上と寝ている時に装着するだけです
  • 柔らかく取り外し可能なので安心・安全です

デメリット

  • 鼻呼吸が難しい患者様は最初に使用困難な場合があります
  • 細かい歯の動きは困難になります

矯正治療時の抜歯について

当クリニックでは、お子様の矯正歯科治療を行う際にはなるべく歯を抜くことがないよう順を追って矯正治療を行っております。しかし、もともと通常より顎が小さく、歯が著しく大きい場合、不要な親知らずが生えた際には抜歯を行うことがありますことをご了承ください。

矯正歯科治療に伴う一般的なリスクや副作用について

矯正歯科治療は公的医療保険の適用外の自費(自由)診療となります。

  • 最初は矯正装置による不快感、痛み等があります。数日間~1、2週間で慣れることが多いです。
  • 歯の動き方には個人差があります。そのため、予想された治療期間が延長する可能性があります。
  • 装置の使用状況、顎間ゴムの使用状況、定期的な通院等、矯正治療には患者さんの協力が非常に重要であり、それらが治療結果や治療期間に影響します。
  • 治療中は、装置が付いているため歯が磨きにくくなります。むし歯や歯周病のリスクが高まりますので、丁寧に磨いたり、定期的なメンテナンスを受けたりすることが重要です。また、歯が動くと隠れていたむし歯が見えるようになることもあります。
  • 歯を動かすことにより歯根が吸収して短くなることがあります。また、歯ぐきがやせて下がることがあります。
  • ごくまれに歯が骨と癒着していて歯が動かないことがあります。
  • ごくまれに歯を動かすことで神経が障害を受けて壊死することがあります。
  • 治療途中に金属等のアレルギー症状が出ることがあります。
  • 治療中に「顎関節で音が鳴る、あごが痛い、口が開けにくい」などの顎関節症状が出ることがあります。
  • 様々な問題により、当初予定した治療計画を変更する可能性があります。
  • 歯の形を修正したり、咬み合わせの微調整を行ったりする可能性があります。
  • 矯正装置を誤飲する可能性があります。
  • 装置を外す時に、エナメル質に微小な亀裂が入る可能性や、かぶせ物(補綴物)の一部が破損する可能性があります。
  • 装置が外れた後、保定装置を指示通り使用しないと後戻りが生じる可能性が高くなります。
  • 装置が外れた後、現在の咬み合わせに合った状態のかぶせ物(補綴物)やむし歯の治療(修復物)などをやりなおす可能性があります。
  • あごの成長発育によりかみ合わせや歯並びが変化する可能性があります。
  • 治療後に親知らずが生えて、凸凹が生じる可能性があります。加齢や歯周病等により歯を支えている骨がやせるとかみ合わせや歯並びが変化することがあります。その場合、再治療等が必要になることがあります。
  • 矯正歯科治療は、一度始めると元の状態に戻すことは難しくなります。

大人・シニアの矯正

大人になってからの矯正治療

歯の矯正は子どもが行うイメージを持っている方も少なくありません。しかし、矯正の開始時期には制限がなく、何歳になっても矯正をスタートすることができます。成人された方の場合、矯正を希望するのも費用を出すのもご自身であることが一般的ですし、年単位の矯正も、終了後に得られるメリットを考えれば耐えやすいでしょう。
歯並びを正すことは、見た目だけでなく、虫歯や歯周病の予防にも繋がります。歯並びが気になる方はぜひ一度当クリニックにご相談ください。

こんなお悩みありませんか?

  • 発音が悪いと感じる
  • 歯がでこぼこして磨きづらい
  • あごをシュッとさせたい
  • 自信を持って笑いたい
  • あごがガクガクすることがある
  • 姿勢が悪くなってしまう

矯正治療を始めるメリット

Merit01お口のコンプレックスが解消できる

ずっと治療するか悩んでいる方も多いと思いますが、矯正治療を行うことで口元に自信を持てるようになり、笑ったり、話すことが楽しくなったという方が多くいらっしゃいます。

Merit02虫歯や歯周病の予防になる

歯並びが悪いと歯が重なっている部分にプラークが溜まり、虫歯や歯周病になりやすくなります。歯磨きやデンタルフロスなどもやりにくく、口臭の原因にもなります。

Merit03矯正治療後今ある歯を長く使える

虫歯による詰め物や被せ物を歯並びが悪い部分に無理に行うと、将来的に歯の再治療や歯を失ってしまうリスクが高くなります。そのため、矯正治療はご自身の歯を長持ちさせることのできる治療でもあるのです。

当クリニックが提供する矯正治療方法

当クリニックでは、患者様のご希望の歯並びやご予算に合わせて、様々な矯正治療方法をご提供いたします。

表側矯正

歯の表面にブラケットと呼ばれる部品を接着し、そこにワイヤーを通して力をかけることで歯列矯正を行う方法です。長い歴史があるので信頼できるエビデンスが多数存在すること、比較的費用を抑えやすいなどの利点があります。また、適応できる症例の多さや、歯並びを整える時間が短いことも大きな利点です。
装置が目立つことを気にされる方は、セラミック素材のブラケットや目立たない色のホワイトワイヤーをご用意することもできますのでご相談ください。ワイヤー矯正の装置装着直後には痛みや違和感がありますが、ほとんどの方が数日のうちに慣れます。

メリット

  • 表に矯正装置が装着されることで効率的な歯の移動が可能となります

デメリット

  • 器具が表に接着するため、装着時には見た目が気になることがあります
  • 器具装着時は入念な歯磨きが必要です

裏側矯正

ワイヤー矯正の装置を歯の裏側に取り付ける矯正方法です。ワイヤー矯正最大の難点である装置が目立つことを解決できます。ただし、ドイツに特注にて矯正装置をオーダーすることもあり、治療費は表側矯正よりも高く設定されております。

メリット

  • 表から目立たない特徴があります

デメリット

  • 表側矯正より費用がかかります
  • 発音がしにくくなる場合があります
  • 歯磨きがしづらくなります

マウスピース矯正

薄くて透明なプラスチック素材で作ったマウスピースを使って矯正を行う方法です。ワイヤー矯正特有のデメリットである「見た目の違和感」が無いので、少ないストレスで矯正ができるメリットがあります。また、患者様の判断でいつでも脱着できるので、食事や歯磨きなどが普通に行える点もマウスピース矯正の魅力のひとつです。

メリット

  • 装置が目立たない
  • 食事中に外せる
  • 治療前に術後の状態がシミュレーションできる
  • 通院回数が少ない
  • 金属アレルギーの心配がない

デメリット

  • 長時間(20時間以上)装着する必要がある
  • 本人の装着努力に治療効果が左右される
  • 難しい症例が苦手

矯正治療は何歳からでも可能です

シニアになってから始める矯正治療

50代、60代以降の方でも、問題となっている部分を部分的に矯正し、良い歯並びにする事でその歯だけではなく周囲の歯も長持ちします。矯正治療をしたことにより、歯の咬み合わせが良くなり、見た目だけではなく老化のスピードを遅らせる事に繋がるのです。矯正中の見た目が気になる方もいらっしゃいますが、今は矯正装置も色々なものがありますので、あなたにあった矯正の仕方がきっと見つかります。
さらに、歯並びを直すと歯磨きがしやすくなり、虫歯や歯周病を予防できます。中・高年の方々が以前に比べて若々しくなり、行動的でおしゃれになっている現代、歯並びも綺麗にして、さらに素敵なシニアライフを目指しましょう。矯正は何歳でも可能です。お気軽にご相談ください。

矯正治療の費用には、1回分のオフィスホワイトニングが含まれます!

当クリニックでは矯正治療を終えた大人の患者様が、より口元に自信を持てるように1回分のオフィスホワイトニングをサービスしています。矯正後綺麗に整った歯を白くすることでより審美性に優れた口元が作れます。継続して白さを保ちたい方も是非ご相談ください。皆様がご自身の歯をずっと健康に綺麗に保つために精一杯サポートさせていただきます。

矯正歯科治療に伴う一般的なリスクや副作用について

矯正歯科治療は公的医療保険の適用外の自費(自由)診療となります。

  • 最初は矯正装置による不快感、痛み等があります。数日間~1、2週間で慣れることが多いです。
  • 歯の動き方には個人差があります。そのため、予想された治療期間が延長する可能性があります。
  • 装置の使用状況、顎間ゴムの使用状況、定期的な通院等、矯正治療には患者さんの協力が非常に重要であり、それらが治療結果や治療期間に影響します。
  • 治療中は、装置が付いているため歯が磨きにくくなります。むし歯や歯周病のリスクが高まりますので、丁寧に磨いたり、定期的なメンテナンスを受けたりすることが重要です。また、歯が動くと隠れていたむし歯が見えるようになることもあります。
  • 歯を動かすことにより歯根が吸収して短くなることがあります。また、歯ぐきがやせて下がることがあります。
  • ごくまれに歯が骨と癒着していて歯が動かないことがあります。
  • ごくまれに歯を動かすことで神経が障害を受けて壊死することがあります。
  • 治療途中に金属等のアレルギー症状が出ることがあります。
  • 治療中に「顎関節で音が鳴る、あごが痛い、口が開けにくい」などの顎関節症状が出ることがあります。
  • 様々な問題により、当初予定した治療計画を変更する可能性があります。
  • 歯の形を修正したり、咬み合わせの微調整を行ったりする可能性があります。
  • 矯正装置を誤飲する可能性があります。
  • 装置を外す時に、エナメル質に微小な亀裂が入る可能性や、かぶせ物(補綴物)の一部が破損する可能性があります。
  • 装置が外れた後、保定装置を指示通り使用しないと後戻りが生じる可能性が高くなります。
  • 装置が外れた後、現在の咬み合わせに合った状態のかぶせ物(補綴物)やむし歯の治療(修復物)などをやりなおす可能性があります。
  • あごの成長発育によりかみ合わせや歯並びが変化する可能性があります。
  • 治療後に親知らずが生えて、凸凹が生じる可能性があります。加齢や歯周病等により歯を支えている骨がやせるとかみ合わせや歯並びが変化することがあります。その場合、再治療等が必要になることがあります。
  • 矯正歯科治療は、一度始めると元の状態に戻すことは難しくなります。

矯正治療中の食事

矯正歯科治療中は何を食べればよいのか?

矯正治療中は、装置を付けたことにより、痛みを伴ったり噛みづらくなることがあります。痛みには個人差がありますが、特に装置を装着した直後は痛みだけでなく、慣れないこともあり、一時的に食べづらくなることもあります。また、食べ物の性状によっては装置の破損や変形の原因により、ケガをしてしまう危険性があるので注意です。

食育インストラクターが矯正治療中の食事を指導します

当クリニックには、食育インストラクターの資格を持つ歯科医師が所属します。矯正治療中は装置をつけたまま食事をする必要があるため様々な問題があります。当クリニックでは、矯正歯科治療中の食事について歯科の面と栄養の面、両方からしっかりサポートする体制が整っています。患者様の矯正治療中の不便が少しでも和らぐよう協力させていただきますので、何でもご相談ください。

矯正治療中にはこんな食べ物に注意しましょう

装置破損の恐れがある食品

固い食品や勢いよく砕く食物は、装置が壊れてしまうことがあります。なるべく控えるか、小さくしたり、水分に浸してやわらかくしてからたべるようにしてください。
例えば、おせんべい、氷のかたまり、ビスケット、ナッツ類などなど

装置に引っかかりやすい食品

ベタベタしたり、くっつきやすい食品は、装置やワイヤーにくっついて破損しやすくなります。また、ほうれん草などの葉もの、長い麺類もワイヤーにひっかかりやすいので、たべたあとは歯間ブラシやデンタルフロスなどの補助器具を使用して、清掃してください。

痛みが出る恐れのある食品

噛みちぎって食べる食品は、痛みが出ることがあります。お肉は小さくカットしたりひき肉にした方が比較的に食べやすくなります。
例えば、ステーキやグミ、イカ、たくあんなどは要注意!

特殊な装置を装着した場合は特に要注意!

正しい咬み合わせを作るために治療の途中で特殊な装置をお口に入れることがあります。その場合、かなり個人差はありますが、一時的に噛みづらくなり、今まで普通に食べていた物が食べづらくなることがあります。またかみ砕く力が弱くなっているため、固いものや大きなものはとても食べづらくなります。少し手間はかかりますが、いつものご飯をひと工夫することで食べやすくなります。一時的に装着する装置なので、ご協力を何卒よろしくお願い申し上げます。

矯正歯科治療中の食事でできるちょっとひと工夫!

Point01ごはんは軟飯やお粥に

ご飯を食べる際には、いつもより少しお水を多めにして柔らかめに炊き、かんたんに噛めるようにしましょう。

Point02野菜類は煮る・茹でる・蒸す

お野菜を矯正歯科治療中に取り入れる際には、少し長めに火を入れるようにして、かんたんに噛めるようにするか、歯ぐきや舌でつぶせるくらいにしましょう。

Point03麺類も柔らかく

ラーメンやパスタといった麺類を食べるときには、ゆで時間を長くし、柔らかめにゆでましょう。また、短めにカットすることでもっと食べやすくなります。

食べづらさや噛みやすさは、個人差があります。食べてみて無理のないように調整していきましょう。
食材の大きさや固さは、舌や歯ぐきでつぶせるくらいをイメージするといいです!

当クリニックからのおねがい

矯正治療中は、痛みや食べづらさが原因で、お食事に時間がかかったり、食事量が減ってしまったり、栄養が偏ることがあります。できるだけいつもと同じように栄養摂取できるように食品にひと手間かけたり、ちょっとした工夫をお願いいたします。
さらに一時的に食べづらいわずらわしさから、不足してしまう栄養を補うために、お食事にプラスアルファとしてプリンやゼリー、栄養ドリンク、野菜スープや野菜ジュースなどを上手く活用してみてください。
その他にもご相談がございましたら、お気軽にご連絡ください。

お電話での問い合わせも承ります。お気軽にご連絡ください。

【受付時間】10:30~13:00 / 14:30~19:00
※木曜日午前は11:30~13:00
【休診日】月曜日、火曜日、第2・第4日曜日、祝日

矯正治療中の予防

矯正歯科治療中の予防処置

矯正治療中は、特にワイヤーとブラケットを使うケースにおいて、日常とは異なる虫歯や歯周病のリスクが発生します。矯正装置を常時装着する治療方法の場合、ブラッシングしにくい部分が出ますし、歯垢が付着しやすくなるからです。当クリニックではその点を踏まえて、矯正期間中の予防処置にも力を入れています。また、歯並びが変わることで、治療以前と歯並びの注意点が変わることにも着目して、歯磨き指導もしっかり行います。

矯正治療もまずはお口の状態を知ることから

お口をキレイな状態に保つためには、お口の中が今どんな状況かを知ることが大切になります。そしてそれは、矯正歯科治療を始める際にも変わりません。ご自分のお口の環境がどのような状態で、どういう歯並びや咬み合わせかを確認したうえでどうなったら理想かを一緒に考えていきます。

Step01位相差顕微鏡でお口の菌の状態を確認

お口の中には数百種類の細菌が存在し、その中のいくつかは虫歯や歯周病などの疾患の原因となります。当クリニックは位相差顕微鏡で細菌の数や種類を確認して、それぞれの方のリスクを診断しています。

Step02唾液検査で細菌の数を確認

唾液検査を行うと、お口の中に生息する細菌の傾向を把握できるとともに、患者様ごとに異なる唾液の性質や分泌量を把握できます。唾液はお口の中が酸性に傾くことを防ぎ、再石灰化を促す作用があるので、唾液の量や質は虫歯のリスクを大きく左右するのです。

予防処置を行うメリットとデメリット

メリット

  • 定期的に行うことで清潔なお口を保てます
  • 予防処置を行うと歯の表面がなめらかになります
  • 口臭予防にもなります

デメリット

  • 処置内容によっては費用が発生します
  • 一過性のものではなく清潔さを保つために継続が必要です

予防のプロ!歯科衛生士が提供する予防処置

当院では、日本成人矯正歯科学会の認定衛生士の資格を持つ歯科衛生士が在籍。
専門的知識、技術ならびに備わった経験をもとに、皆様の歯の治療や予防のサポートを行ないます。

歯磨き指導

「丁寧に時間をかけて歯を磨いている」という人でも、虫歯や歯周病にかかってしまうケースは少なくありません。そのような場合、磨き方のクセにかたよりがあることが考えられます。特に矯正治療中は歯並びが変わっていくことで、それまでとは異なる状態になるので注意が必要です。ぜひ当クリニックで歯磨き指導を受けて、虫歯や歯周病を予防しましょう。

PMTC

歯科医師や歯科衛生士が、専用機器を用いて行う清掃です。毎日のセルフケアを頑張っていても、どうしても歯垢や歯石はたまっていきますから、定期的にプロケアを受けることで虫歯や歯周病のリスクを低減することができます。また、歯の着色も取れるので、見た目がきれいになる利点もあります。

予防処置の料金について

当クリニックでは、予防処置の費用はすべて、矯正歯科治療の料金に含まれています。矯正歯科治療を始める際には、まず初めに予防処置を受けていただき、皆様が虫歯、歯周病のリスクなく、安心して矯正歯科治療を行っていただけるよう努めています。