乱れた歯並び(叢生)受け口(下顎前突)大人の矯正深い咬み合わせ(過蓋咬合)
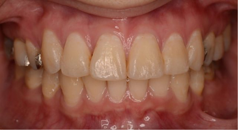
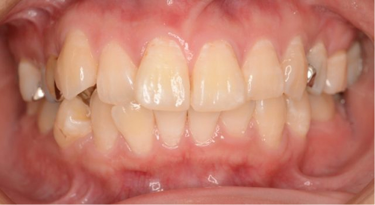
過蓋咬合(深いかみ合わせ)の女性
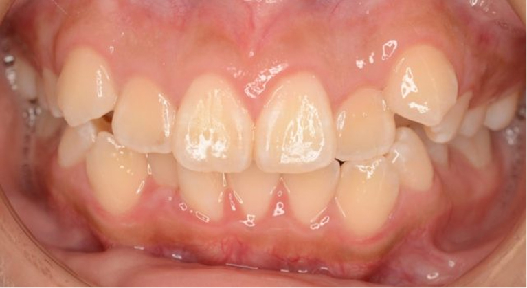
Before
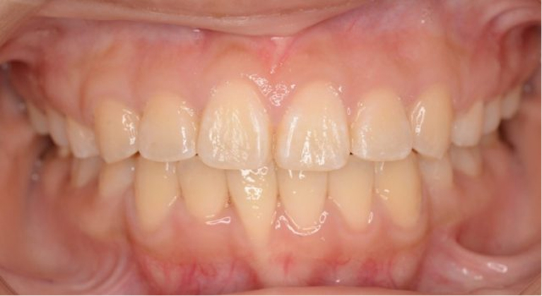
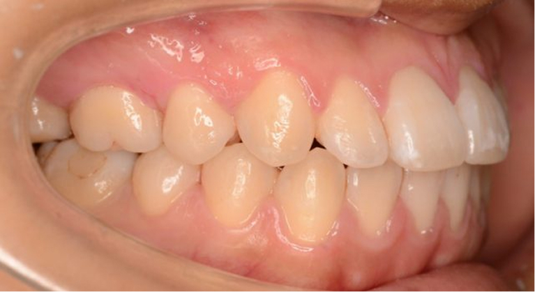
After
- 通院時の年齢
- 13歳
- 性別
- 女性
- 治療期間・通院回数
- 3年4か月
- 通院目的
- 前歯のかみ合わせが深く、咬んだ時に下顎の歯が見えない。上顎の前歯が小さい。
- 処置内容
- 前歯部のかみ合わせが著しく深く(過蓋咬合)、上顎側切歯・左側犬歯が小さい(矮小歯)状態でした。上顎の歯を抜歯した上で、前歯の垂直的改善だけでなく、前後的かみ合わせも改善しました。
- 費用
- 約85万円(処置料は除く)
- デメリット
- 矯正治療においては歯の表面にブラケットが装着されるため、歯の周りに汚れが付きやすくなります。また、ブラケットが装着されてることで治療初期に口内炎になることがあります。