豊富な治療
確かな技術
質の高い矯正治療を
おこなっております

駅から徒歩2分

土日も診療

徹底した
感染予防対策

KOGA ORTHODONTIC CLINIC
Patient First

「患者様ファースト」の治療を実現するために

当クリニックでは、患者様への負担を軽減しつつ、治療計画の透明性と矯正治療の精度を高めるため、「高性能かつ短時間で歯型を採取するための3Dデジタル口腔内スキャナー」、「高精細なレントゲン撮影」、「痛みの少ないコールドレーザー治療」、そして「正確な咬合分析を可能にする咬合器システム」などの様々な設備を導入しております。

患者様に無理なく、負担の少ない治療をすること、そして治療方針、治療計画が患者にとってわかりやすく、なおかつ矯正治療自体の精度をあげることを念頭に、患者様一人ひとりに合わせた治療を提供することを目指しています。

Patient First

徹底した感染予防対策で安心の矯正治療

当クリニックでは、ご来院くださる皆様が快適な空間で矯正治療を受けていただけるように 第一種歯科感染管理者の資格と、日本成人矯正歯科学会の認定衛生士の資格を持つ歯科衛生士が所属し、
様々な感染症予防対策を行っています。

MEDICAL

チーム医療で
多面的なサポートをご提供

世田谷区の小田急線「喜多見」駅より徒歩2分の古賀矯正歯科クリニックです。
私たちは3名の矯正歯科医、食育インストラクター・製菓衛生士でもある歯科医師1名、そして歯科衛生士で矯正歯科チームを組み、患者様と十分なコミュニケーションをとりながら矯正治療を行っております。
私たちは常に研究とディスカッションを重ね、検討する姿勢を持って矯正治療に取り組んでおります。

FEATURES

古賀矯正歯科の年齢に合わせた矯正治療

子供の矯正

お子様の矯正治療をご検討の場合、約6~7歳の前歯の永久歯が生え変わってくる時期に、一度ご来院することをおすすめします。悪い歯並びや噛み合わせは、お子様のあごの形や顔立ちの成長発育に影響を与えます。早期に矯正治療を始めることであごの成長を促すことにより、将来的な歯の交換をスムーズに行える可能性を高くします。

FEATURES 01

中高生の矯正

13歳前後になるとあごは既に発育が緩やかとなっておりますので、直接歯に矯正装置を付け、ワイヤーにて歯並びを変えていくことができます。将来に向けて歯並びをきれいにするだけでなく、むし歯になりづらい口腔内を作るためにもこの時期に歯科医師がお口の管理を行っていくことが大切になってきます。

FEATURES 02

大人の矯正

矯正治療は子供のうちにしなければ意味がないと思っていませんか?実は大人になってからのタイミングで始める方も多くいらっしゃいます。たくさんの人と出会う大人であるからこそ矯正治療による歯並びの改善は、より一層のご自身への自信につながります。

FEATURES 03

シニアの矯正

50代、60代からでも矯正治療は十分に可能です。すべての歯を矯正治療で動かさなくても問題となっている部分を部分的に矯正し、良い歯並びにする事でその歯だけではなく周囲の歯を長持ちさせます。矯正治療をしたことにより、歯の噛み合わせが良くなり、見た目だけではなく老化のスピードを遅らせる事につながるのです。

FEATURES 04

矯正治療中の食事と予防

矯正治療中、装置がお口についた状態の時に何を食べればいいか、どうやってむし歯予防をすればいいかと疑問を持つ方は多くいらっしゃるかと思います。
当クリニックでは、食育インストラクターの資格を持つ歯科医師が矯正中の食事に関する様々なお悩みにご対応いたします。
矯正治療中は、ご飯が食べづらいと感じるだけではなく装置の間に食べかすがたまりやすいので
虫歯にならないためのお口のケアがとても大切です。
当クリニックでは矯正治療だけにとどまらず、予防歯科から矯正治療中の食生活を含めて
サポートさせていただきますので安心してご来院ください。

KOGAORTHODONTICCLINIC

KOGAORTHODONTICCLINIC

REASON

患者様との
丁寧な
コミュニケーション

スタッフの
自己研鑽で
エビデンスのある治療

成人矯正歯科学会の
認定衛生士が
在籍

コールドレーザーで
痛みの少ない
矯正治療

徹底した
口腔衛生管理

歯の型どりのいらない
口腔内スキャナー

駅から徒歩2分
土日も診療

自宅と併設で
急患にも対応

FIRST VISIT

初めてご来院される方へ

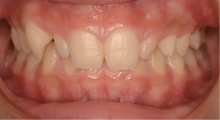
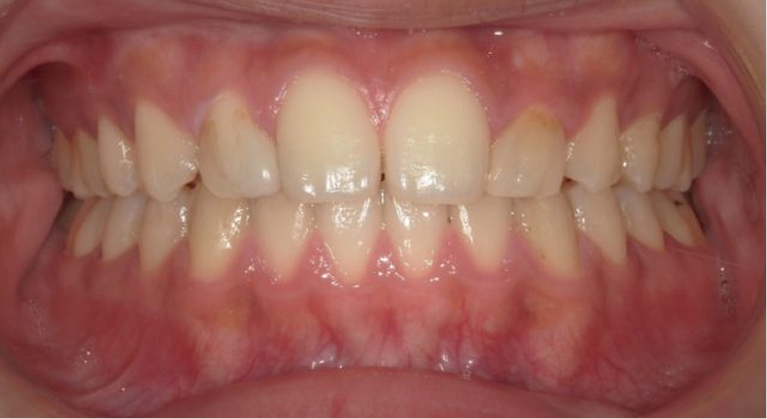
CASE

症例紹介

Before

BEFORE

After

AFTER

DOCTOR

ごあいさつ

患者様の笑顔のために、 口元から人生を変えます。

矯正治療は患者様と長い期間関わっていく治療になります。患者様はもちろん、ご家族様との信頼関係が治療をする上でとても重要なものになります。当院では徹底したコミュニケーションを行い治療に臨んでおります。どんな些細なことでもお気軽にご相談ください!!

院長古賀 仁朗

More
古賀仁朗